Käytätkö nuuskaa?

Käytätkö nuuskaa?

ViestiKirjoittaja Palle » 23.04.2018 22:03

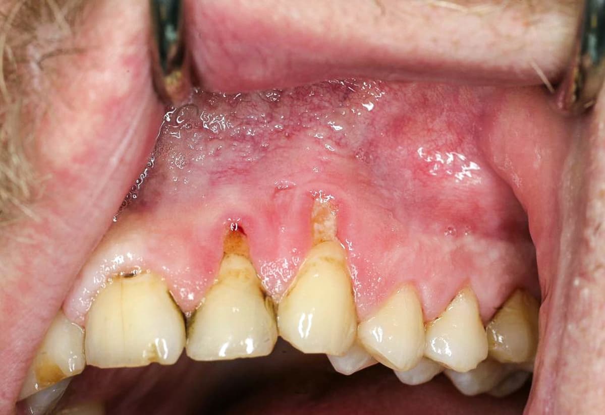
Kuva
Nuuskan käyttö jättää suuhun peruuttamattomat jäljet: "Ei lisää vientiä sinkkumarkkinoilla"

https://yle.fi/uutiset/3-10169977
Ko on ilonen luanto, ni kaikki maistuu hyvältä
Avatar
Palle
 
Viestit: 7242
Liittynyt: 12.03.2018 23:03

Paluu Vertaistuki ja lääkkeet



Paikallaolijat

Käyttäjiä lukemassa tätä aluetta: Ei rekisteröityneitä käyttäjiä ja 2 vierailijaa